Chipped teeth are a common dental issue in Singapore, leaving many to wonder if the damage requires immediate action. This guide walks you through what a chipped tooth actually means, the treatment options available, and what you can expect to pay.
What Is a Chipped Tooth?
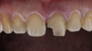
A chipped tooth involves a loss of tooth structure, ranging from a tiny enamel flake to a deep fracture. This section explains the difference between minor surface damage and serious fractures that may require more urgent clinical intervention.

Is a Chipped Tooth Serious? Signs to Watch For
Minor chipped tooth that only grazes the surface enamel may just need smoothing. A moderate chip that exposes the softer dentine layer underneath tends to cause sensitivity to hot and cold. A severe chip or broken tooth that reaches the pulp is likely to be painful and carries a real risk of infection.
Signs that suggest a more serious chip:
- Sharp, throbbing, or persistent pain
- Sensitivity that does not settle within a day or two
- A visible pinkish or reddish area inside the tooth (exposed pulp)
- Swelling around the gum near the affected tooth
What Happens If You Do Not Fix a Chipped Tooth?
Leaving a chip untreated is a gamble. The exposed area can collect bacteria, leading to decay or infection. Chips also have a tendency to propagate, and what starts as a small fracture can worsen with everyday chewing pressure. As enamel does not grow back, the tooth will not heal on its own.
How long is it safe to have a chipped tooth without seeing a dentist? For a minor surface chip, a few days is unlikely to cause lasting harm. For deeper damage, seeing a dentist promptly ensures the best outcome and prevents further complications..
Types of Tooth Damage: From Minor Chips to Full Fractures
Tooth damage exists on a spectrum. Identifying the type of fracture helps determine which treatment is appropriate, and how urgently you need to act.

Minor Chips and Superficial Cracks
Craze lines are hairline surface cracks that only affect the enamel. These are purely cosmetic and rarely cause issues. Small enamel chips are often completely painless. Treatment for these usually involves gentle reshaping or bonding.
Moderate Chips and Fractured Cusps
A fractured cusp happens when a piece of the chewing surface breaks off, frequently around a large, older filling. A cracked tooth means the fracture extends toward the root, which may not be visible immediately. You might feel sensitivity while chewing and could need a crown to protect the remaining structure.
Severe Breaks and Root Fractures (Broken Tooth)
Vertical root fractures usually require full extraction since they originate in the root. Similarly, a split tooth separates into two segments, while a broken tooth exposing the pulp often needs a root canal or extraction. All root fractures require prompt clinical intervention.
What Causes a Chipped Tooth?
Recognising common causes and early symptoms of a chipped tooth helps you reduce risk and act before damage worsens. Here are common culprits and the steps you should take right now.

Common Causes of Chipped and Cracked Teeth
What exactly causes a tooth to chip or crack? Often, it is a combination of existing weakness and an unlucky moment of force. The most common culprits:
- Biting down on hard foods such as ice, boiled sweets, or unpopped popcorn kernels
- Sports injuries, accidents, or falls
- Bruxism (teeth grinding), which gradually wears enamel down over time
- Old or large fillings that compromise the structural integrity of the remaining tooth
- Sudden temperature changes, for example, eating something very hot followed immediately by an ice-cold drink
Chipped Tooth Symptoms to Recognise
How painful is it to chip a tooth? It depends entirely on how deep the damage goes. You might feel nothing beyond a rough edge, or you might have sharp pain when biting. Common symptoms to look out for:
- A jagged or rough edge that catches on your tongue
- Sensitivity to heat, cold, or sweet foods
- Pain that spikes when you release bite pressure (a likely indicator of a crack extending deeper)
- A visible fracture line or a piece that has broken away
- Gum swelling near the affected tooth
Immediate Steps to Take Before Seeing a Dentist
Before your appointment, there are a few things worth doing to limit discomfort and protect the tooth:
- Rinse your mouth gently with warm salt water
- If you can find any broken fragments, store them in milk or saliva, as they may be reattachable
- Cover any sharp edges with dental wax or sugar-free gum to avoid cutting your tongue or cheek
- Take an over-the-counter pain reliever and apply a cold compress to your cheek to reduce swelling
- Avoid crunchy or hard foods and try to chew on the opposite side
- Book a consultation at WeSmile Dental as soon as possible
Chipped Tooth Treatment Options
The right treatment depends on the severity of the chip, which tooth is affected, and your overall dental health. WeSmile Dental repairs chipped teeth with everything from quick cosmetic fixes to advanced restorative procedures.

Dental Bonding: How to Fix a Chipped Tooth Fast
Dental bonding is a popular, single-visit repair for small to moderate chips, especially on front teeth. Dentists apply tooth-colored resin to the damaged area, shape it, and harden it with a curing light. This painless process rarely requires anaesthesia and typically lasts five to ten years with good care.
Tooth-Coloured Fillings for Chipped Molars
Composite fillings provide the most practical solution for back-of-the-mouth chips, especially near existing cavities. It rebuilds the missing structure using a material that blends with the natural tooth colour. CHAS subsidies may apply in many cases, making this one of the more accessible options for eligible patients.
Dental Veneers for Cosmetic Chipped Tooth Repair
Veneers are thin shells of porcelain or composite material bonded to the front surface of the tooth. They work well for larger cosmetic chips on front teeth, especially where discolouration is also a concern. It is worth noting that that Medisave and CHAS do not cover veneers, as insurers consider them a cosmetic procedure.
Dental Crowns for Severely Broken Teeth
When a tooth is badly fractured, a crown is likely to be the most appropriate treatment. It fits over the remaining tooth structure and restores both function and appearance. Dentists often combine crowns with root canal therapy to treat serious cracks extending toward the root. Certain surgical procedures involving crowns may be Medisave-claimable.
Root Canal Treatment When a Chip Exposes the Nerve
If a chip exposes the pulp, dentists must perform a root canal to remove infection and seal the tooth with a crown. Patients should seek immediate treatment to prevent the infection from spreading. For qualifying cases, Medisave covers root canal procedures.
Teeth Reshaping for Minor Chips
For barely-there chips, a dentist can simply smooth and polish the rough edge. This straightforward procedure is reason enough to seek a dental assessment, even for the most minor of chips.. Only a clinical assessment can confirm that the damage is truly superficial.
How Much Does Chipped Tooth Treatment Cost in Singapore?
Costs vary based on the type of treatment, the severity of the chip, and whether you are eligible for subsidies. The table below gives a general guide to what you might expect to pay.

For more information about our prices as well as other services, you can refer to our comprehensive price list here.
Medisave, CHAS and PG/MG Subsidies
CHAS, Pioneer Generation (PG), and Merdeka Generation (MG) cards cover medically necessary repairs such as fillings and root canals at participating clinics. Cosmetic procedures like veneers are generally not covered. Medisave typically does not apply to simple bonding, but may contribute toward surgical procedures and certain crown or root canal work. WeSmile Dental is a CHAS-accredited clinic.
What Affects the Final Price?
- How severe the chip is
- The treatment required and material used (composite versus porcelain)
- Whether additional work such as a root canal is needed alongside
- The number of affected teeth
Frequently Asked Questions About Chipped Tooth Treatment
Can a chipped tooth go back to normal?
Enamel does not naturally regenerate, but modern chipped tooth repair treatments can fully restore your tooth’s function and appearance.
Is it okay to leave a chipped tooth?
Minor chips may feel stable, but untreated chips risk further cracking, decay, and infection. A prompt dental review is always recommended.
What is the difference between a chipped and broken tooth?
A chip is partial enamel loss. A broken tooth involves a deeper fracture directly into the dentin or pulp. Both need prompt attention.
Is a chipped tooth an emergency?
If accompanied by severe pain, swelling, or exposed pulp, yes. Seek same-day treatment. Minor painless chips can usually wait a day or two.
Do I need to see a dentist for a slightly chipped tooth?
Yes. Even small chips should be assessed. Treatment may be simple smoothing, but only a dentist can confirm there is no deeper damage hidden.
Why Choose WeSmile Dental?
Finding the right clinic when you are in pain can be daunting. At WeSmile Dental, our multi-lingual doctors focus on your long-term health rather than just offering quick fixes. With three convenient locations across Singapore in AMK, Bedok, and Orchard, reliable dental care is never too far away.

